Wisdom Teeth
Wisdom Teeth In Winmalee
Assessment, Guidance, and Treatment When Needed
Wisdom teeth, also known as third molars, are the last teeth to appear in the mouth. For some people they erupt normally without any issues. For others they may become impacted, infected, painful, or difficult to clean, which can lead to problems over time.
At Winmalee Family Smiles, we assess wisdom teeth carefully and only recommend removal when it is clinically necessary.
Strong Focus in Oral Surgery
Dr Sam Lin has a strong professional interest in oral surgery and wisdom teeth management. His experience includes assessing complex cases, carefully planning treatment, and coordinating surgical care when removal is needed.
Our philosophy is to provide clear guidance, thoughtful timing, and predictable care, with patient comfort as a priority.
When Wisdom Teeth May Need Attention
Wisdom teeth may require monitoring or removal if they are:
- Causing pain or infection
- Partially erupted and trapping food or bacteria
- Damaging the tooth in front
- Associated with cysts
- Causing gum inflammation
- Difficult to clean due to their position
- Contributing to repeated infections or swelling
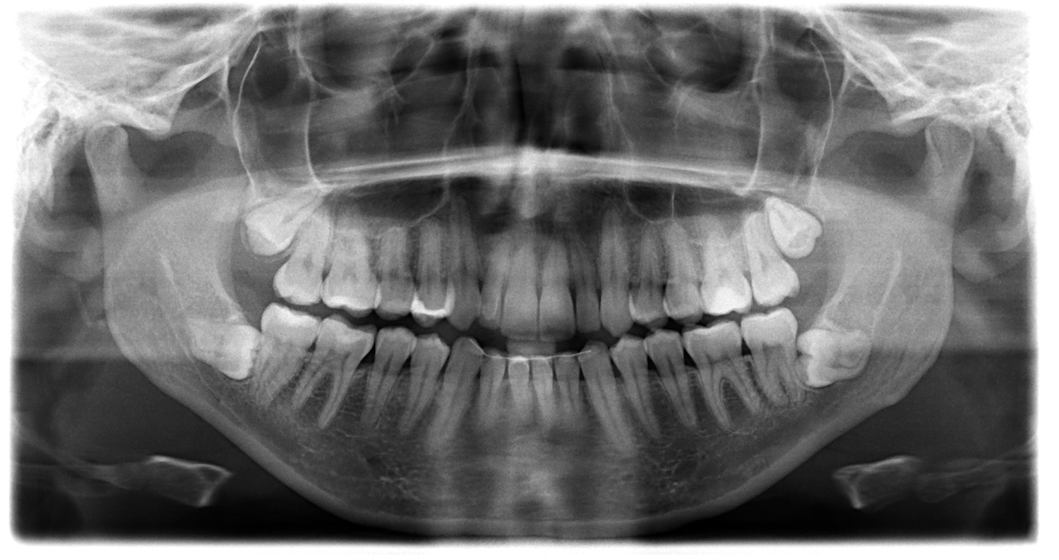
Digital X-rays and 3D imaging are often used to assess positioning and risk accurately.
Wisdom Teeth and IV Sedation
Some wisdom teeth extractions can be performed comfortably in the chair with local anaesthetic. However, there are situations where treatment may be more comfortably or safely carried out under IV sedation or general anaesthesia.
There is often a natural overlap between wisdom teeth removal and IV sedation dentistry, particularly for:
- Anxious patients
- Complex or surgical extractions
- Multiple wisdom teeth in one visit
At Winmalee Family Smiles, IV sedation is administered by a qualified anaesthetist or emergency physician, meaning you are safely monitored throughout the entire procedure.
We will always discuss the most appropriate setting and sedation option for your case.
Our Wisdom Teeth Process
- 1. Comprehensive examination and imaging
We assess the position and risk profile of the teeth. - 2. Clear explanation of findings
You will understand whether treatment is needed now, later, or not at all. - 3. Treatment planning
Options include monitoring, extraction in the chair, or referral for sedation or specialist care if required. - 4. Aftercare and follow-up
We provide detailed instructions and ongoing support during recovery.
There is no rush and no pressure. Decisions are made collaboratively.
